Clareamento dental em Barbacena:
transforme seu sorriso com segurança.

No consultório Paula e Flávio Odontologia, realizamos clareamento profissional seguro e personalizado, com protocolos em consultório e manutenção caseira supervisionada.
Agende sua avaliação pelo WhatsApp e descubra qual protocolo é ideal para o seu caso.

Você merece um sorriso branco, saudável e cheio de autoestima.
Dê adeus aos dentes amarelados com um tratamento seguro, supervisionado por dentista e totalmente personalizado para você.

Você já se olhou no espelho e se incomodou com a cor dos seus dentes?
Manchas, escurecimento natural, café, vinho, cigarro… Tudo isso vai tirando o brilho do nosso sorriso e a nossa confiança.
Mas você não precisa mais esconder o sorriso.
Aqui no nosso consultório, entendemos que clarear os dentes vai muito além da estética.
É sobre recuperar sua autoestima, seu prazer de sorrir e a confiança de se apresentar ao mundo.
Você se identifica com isso?
VERGONHA DE SORRIR NAS FOTOS
Você evita sorrir em fotos ou vídeos porque sente que seus dentes não estão como gostaria?
DESEJO DE PARECER MAIS JOVEM
Você sente que um sorriso mais claro poderia te deixar com um visual mais leve e rejuvenescido?
TENTATIVAS FRUSTRADAS COM CLAREAMENTO CASEIRO
Já usou produtos de farmácia ou “milagrosos” e não teve nenhum resultado satisfatório?
SORRISO NÃO REFLETE SUA AUTOESTIMA
Você cuida de si, se veste bem, mas o sorriso ainda parece não acompanhar sua imagem?
BUSCA POR MUDANÇA RÁPIDA E SEGURA
Gostaria de uma transformação estética sem cirurgia, invasão ou grandes compromissos?
SORRISO ESCURECIDO PELO TEMPO
Seus dentes ficaram mais amarelados com o passar dos anos, por café, cigarro ou alimentação?
EVENTO ESPECIAL CHEGANDO
Vai casar, se formar, viajar ou tem um evento importante e quer estar com o sorriso impecável?
UM SORRISO QUE NÃO REPRESENTA QUEM VOCÊ É
Você sente que seu sorriso atual não expressa sua verdadeira energia ou personalidade?
FALTA DE CONFIANÇA AO FALAR OU RIR
Você sente insegurança em reuniões, encontros ou até para dar risada com liberdade?
MOMENTO DE CUIDAR DE SI MESMO
Sente que chegou a hora de se priorizar e investir em algo que vai te fazer se sentir melhor?
Clareamento dental em barbacena seguro, confiável e personalizado
Não enfraquece os dentes
Não desgasta o esmalte
É feito com segurança, em ambiente clínico e com materiais aprovados pela ANVISA
Tratamento personalizado, porque cada sorriso é único
Conheça o especialista em clareamento

Dr. Flávio Geraldo de Araújo – CRO-MG 22017
Cirurgião-dentista com 30 anos de experiência, atendimento humanizado e foco na estética do sorriso. Formado pela Universidade Federal de Juiz de Fora em 1996.
Consultório localizado no centro de Barbacena, de fácil acesso.
Há três décadas atuando como dentista, o Dr. Flávio se tornou referência em clareamento dental em Barbacena. Com atendimento personalizado e técnicas atualizadas, já realizou o procedimento em centenas de pacientes, priorizando segurança e resultados naturais.
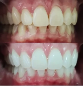
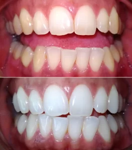
Clareamento dental em Barbacena
antes e depois
Opiniões dos nossos pacientes no google
Publicado em J Marcelo TófoliTrustindex verifica se a fonte original da avaliação é Google. Profissionais competentes, atenciosos e educados, com preço justo! Eu recomendo!Publicado em marcio costaTrustindex verifica se a fonte original da avaliação é Google. Profissionais humanos e extremamente competentes!Publicado em Aparecida BarbosaTrustindex verifica se a fonte original da avaliação é Google. Excelentes profissionais. Muito Atenciosos.Publicado em NEIVA MARIA CANTARUTI TOFFOLITrustindex verifica se a fonte original da avaliação é Google. "Encontrei no consultório da Paula e do Flávio um ambiente acolhedor e mãos habilidosas, o que torna a minha experiência sempre muito positiva. Profissionais excelentes, atenciosos e sempre me tratam com todo o cuidado e carinho. Estou muito satisfeita com os diversos tipos de tratamentos que recebo, quando necessário , recomendo."Publicado em Antonio netoTrustindex verifica se a fonte original da avaliação é Google. Fiquei muito satisfeito com o atendimento tanto pelo Dr. Flávio quanto pela Drª Paula. São muito atenciosos, profissionais de alta qualidade. Prezam muito pela higiene e qualidade e bom trabalho!Publicado em adirson NascimentoTrustindex verifica se a fonte original da avaliação é Google. Muito satisfatório, excelentes profissionais, tratamentos como canal, faceta que já fiz com eles é de primeira qualidade e restauração tanto com o Dr.Flavio e Dra Paula me trouxe muita segurança.Publicado em Lido LoschiTrustindex verifica se a fonte original da avaliação é Google. Ótima. Sempre muito bem atendido.Publicado em Patricia DilamareTrustindex verifica se a fonte original da avaliação é Google. Excelente atendimento Adorei o clareamento que fiz com o Flávio meus dentes ficaram lindos super recomendo 👏🏻👏🏻👏🏻Publicado em Estela AmaralTrustindex verifica se a fonte original da avaliação é Google. Fui muito bem atendida. Profissionais de excelência! Eles estão de parabéns!👏Certificado: TrustindexO selo verificado do Trustindex é o Símbolo Universal de Confiança. Apenas as melhores empresas podem obter o selo verificado que tem uma pontuação de avaliação acima de 4.5, com base nas avaliações dos clientes nos últimos 12 meses. Leia mais
AGENDA LIMITADA
Atendemos um número reduzido de pacientes por semana para garantir um atendimento personalizado e de excelência.
Se você busca clareamento dental em Barbacena e quer conquistar seu sorriso branco, não deixe para depois.
PERGUNTAS FREQUENTES
Não. Quando feito com a supervisão de um dentista, o clareamento é um procedimento seguro. Ele age apenas na pigmentação do esmalte dos dentes, sem causar desgaste ou enfraquecimento da estrutura dental.
Algumas pessoas podem sentir sensibilidade temporária durante o tratamento, principalmente ao consumir alimentos muito quentes ou frios. Porém, isso é passageiro e pode ser controlado com produtos específicos indicados pelo dentista.
O clareamento de consultório é feito com produtos mais concentrados e aplicação supervisionada. O caseiro é feito em casa, com moldeiras personalizadas e gel de uso diário. O combinado une os dois métodos, potencializando o resultado. Este costuma ser o mais eficaz.
A durabilidade varia de pessoa para pessoa, mas os resultados podem durar de 1 a 3 anos. Manter bons hábitos, evitar alimentos muito pigmentados e fazer manutenção periódica ajudam a prolongar o efeito.
Não. Existem contraindicações, como para gestantes, lactantes, menores de 16 anos e pessoas com cáries, uso de aparelho ortodôntico, restaurações extensas ou doenças gengivais. Uma avaliação é essencial para definir se o tratamento é indicado.
Alguns pacientes percebem diferença logo nas primeiras sessões. No caso do clareamento caseiro, o efeito é gradual. No método combinado, os resultados são mais rápidos e intensos.
O clareamento clareia apenas dentes naturais. Restaurações, facetas e próteses não mudam de cor, por isso é importante planejar possíveis trocas após o clareamento.
Não é recomendado. O uso sem orientação profissional pode causar danos à gengiva, à mucosa bucal e até comprometer o esmalte dos dentes. Além disso, sem o diagnóstico correto, os resultados podem ser insatisfatórios.
Sim, mas com cuidado. O dentista pode adotar um protocolo personalizado com uso de dessensibilizantes antes e durante o tratamento. O acompanhamento profissional é ainda mais essencial nesses casos.
Quando feito corretamente, os riscos são mínimos. Problemas ocorrem geralmente quando o tratamento é feito sem orientação ou com produtos inadequados.
Sim. A limpeza profissional remove placa bacteriana, tártaros e manchas superficiais, preparando os dentes para receber o gel clareador e potencializando os resultados.
Durante muitos anos, acreditava-se que a melhor opção durante o clareamento dental era evitar totalmente alimentos e bebidas que tivessem cor intensa, como café, vinho tinto, chá preto, refrigerantes escuros, molhos marcantes, chocolate, beterraba, açaí e frutas vermelhas. Essa orientação, chamada de “dieta branca”, buscava impedir que pigmentos penetrassem em um esmalte dental temporariamente mais poroso, garantindo assim melhores resultados.
Atualmente, diversos estudos e a prática clínica mostram que não é necessário ser tão rigoroso. O importante é evitar alimentos e bebidas muito coloridos por pelo menos uma hora após a aplicação do gel clareador. Esse tempo é suficiente para que a superfície dos dentes, que ficou porosa por causa do gel clareador, comece a se recompor, reduzindo bastante o risco de manchas. Desta forma, seguir a “dieta branca” de forma integral passou a ser opcional, indicada principalmente para quem deseja resultados estéticos máximos.
No entanto, um ponto que continua recebendo atenção é o consumo de alimentos ácidos, como frutas cítricas, vinagre e refrigerantes. Essas opções podem desgastar o esmalte, especialmente durante o período em que o dente está mais sensível devido ao clareamento, aumentando o risco de sensibilidade e manchas. Por isso, o recomendável é moderar principalmente os alimentos ácidos ao longo de todo o tratamento.
Não. O resultado varia conforme a estrutura dos dentes, hábitos alimentares, tipo de mancha e resposta individual ao gel clareador. Por isso, o tratamento deve ser personalizado.
Pode, mas o fumo pode comprometer os resultados e reduzir a durabilidade do efeito. Idealmente, o paciente deve reduzir ou parar de fumar antes e após o procedimento. Além disso o clareamento é seu resultado é um grande incentivo para a pessoa parar de fumar.
O objetivo é alcançar um tom natural e saudável, não necessariamente “branquíssimo”. O dentista orienta o paciente sobre o limite ideal para manter um resultado bonito e harmônico.
Não é indicado fazer clareamento durante o uso de aparelho fixo, pois os brackets dificultam a ação do gel. O ideal é aguardar o fim do tratamento ortodôntico para fazer o clareamento completo.
Sim. Sessões de reforço podem ser feitas após alguns meses ou anos, dependendo dos hábitos do paciente. O dentista indicará o melhor momento para fazer a manutenção.
Depende do caso. Manchas profundas, como as causadas por tetraciclina ou excesso de flúor, podem não clarear totalmente. Nestes casos, outras abordagens estéticas podem ser recomendadas, como resinas, facetas ou lentes de contato dental.
É considerado estético, mas os benefícios emocionais e sociais são significativos. Melhorar a aparência do sorriso pode impactar diretamente na autoestima, na confiança e até em oportunidades profissionais.
Só uma avaliação individual pode responder essa pergunta. Cada sorriso é único, e o dentista irá indicar o tipo mais adequado ao seu perfil, estilo de vida, sensibilidade e expectativas.
Paula e Flávio Odontologia
Rua Quinze de Novembro, 169 sala 202
Centro – Barbacena – Minas Gerais
Telefone: 32 98853-0390



